INICIO » ESPECIALIDADES » Endodoncia

Endodoncia

logo xdent negro

Endodoncias en Torrelavega

Salvamos tus dientes con un tratamiento seguro y sin dolor.

En nuestra clínica dental en Torrelavega, sabemos lo importante que es conservar tus dientes naturales.

Nuestro servicio de endodoncia en Torrelavega está diseñado para eliminar infecciones y aliviar el dolor sin necesidad de extracción.

Contamos con dentistas altamente especializados y utilizamos tecnología de última generación para garantizar un tratamiento preciso, rápido y sin molestias.

¿Qué es una endodoncia y cuándo la necesitas?

La endodoncia es un procedimiento que permite salvar un diente cuya pulpa (nervio) ha sido dañada por:

✔️ Caries profundas que han afectado el tejido interno.
✔️ Infecciones dentales que provocan inflamación y dolor.
✔️ Traumatismos o fracturas que comprometen la raíz.
✔️ Sensibilidad extrema y prolongada al frío o calor.

¿Cómo realizamos el tratamiento de endodoncia en nuestra clínica?

Nuestro equipo de especialistas en endodoncia y periodoncia sigue un procedimiento meticuloso y seguro:

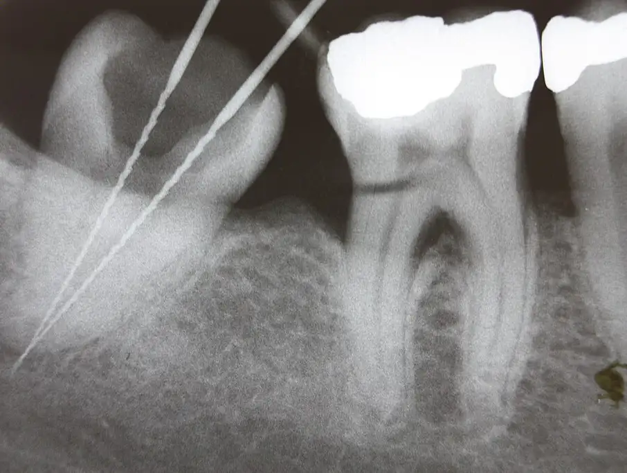
🔹 Evaluación y diagnóstico con radiografías digitales de alta precisión.
🔹 Limpieza y eliminación del tejido infectado dentro del diente.
🔹 Sellado del conducto radicular con materiales biocompatibles.
🔹 Reconstrucción del diente con empaste o prótesis estética dental, si es necesario.

Gracias a nuestra experiencia y tecnología avanzada, el procedimiento es rápido, seguro e indoloro, asegurando una recuperación cómoda y efectiva.

Beneficios de nuestras endodoncias en Torrelavega

✔️ Tratamiento sin dolor gracias a la anestesia y técnicas avanzadas.
✔️ Preservación del diente natural, evitando extracciones innecesarias.
✔️ Recuperación rápida con mínima molestia postoperatoria.
✔️ Materiales de última generación para mayor seguridad y durabilidad.
✔️ Atención personalizada y asesoramiento en cada paso del proceso.

¿Por qué elegir Xdent Henar Vicente para tu endodoncia?

✔️ Somos una clínica dental en Torrelavega con un equipo de especialistas en odontología conservadora y rehabilitación dental.
✔️ Utilizamos tecnología de última generación para garantizar tratamientos efectivos y cómodos.
✔️ Ofrecemos facilidades de pago y opciones de financiación para que el cuidado de tu salud bucodental sea accesible.
✔️ Te proporcionamos un trato cercano y personalizado, priorizando tu bienestar en todo momento.

📅 Pide tu cita hoy mismo en Xdent Henar Vicente y deja que nuestros especialistas cuiden de tu sonrisa con el mejor tratamiento de endodoncia en Torrelavega.

TECNOLOGÍA AVANZADA PARA EL CUIDADO DE TU SONRISA

Tu Salud bucodental con los mejores dentistas de Torrelavega

icono Revisiones y prevenció

Revisiones y prevención

Realizamos revisiones dentales periódicas para detectar problemas a tiempo y mantener tu salud bucodental en óptimas condiciones.

icono Tratamientos personalizadosn

Tratamientos personalizados

Desde odontología general hasta estética dental, ofrecemos una amplia variedad de tratamientos dentales adaptados a tus necesidades.

icono Atención especializada

Atención especializada

Nuestro equipo de dentistas altamente especializados garantiza un trato personalizado con tecnología de última generación.